Contact Us
Give Us a Call!
(516) 665-8000
Our Office
31 Merrick Ave
Suite 220
Merrick
,
NY
11566
(516) 665-8000
bciporindds@gmail.com
Home
About Us
New Patients
Smile Gallery
Dental Videos
Reviews
Local Communities
Our Office
Meet Dr. Ciporin
Services
Snoring Appliances
Emergency Treatment
Extractions
Night Guards
Oral Cancer Screening
Oral Exams
Pediatric Dentistry
Periodontal Treatment
Root Canals
Sports Mouthguards
TMJ Disorders
CEREC
All-on-6®
Dental Bridges
Dental Fillings
Dentures
Teeth Whitening
Veneers
Dental Lab
Digital Radiography
Clear Braces
Dental Health
Request an Appointment
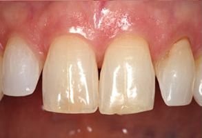
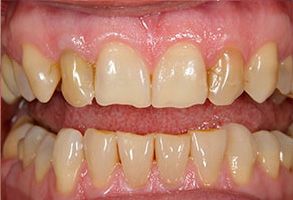
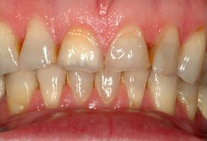
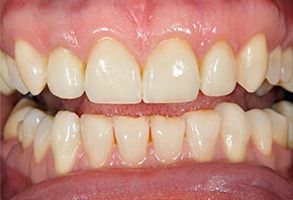
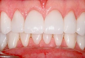
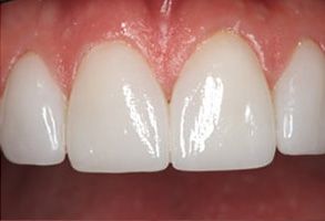
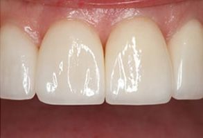
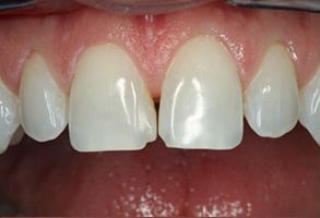
Dentistry Before and After Photos
Before
After
Before
After
Before
After
Before
After
Before
After
Before
After
Before
After
Our Office
31 Merrick Ave
Suite 220
Merrick
,
NY
11566
(516) 665-8000
bciporindds@gmail.com
(516) 665-8000
© 2025 Merrick Dental Arts. All Rights Reserved. |
Accessibility Policy
Dentist Website Design
Dentist Near Me
|
Dentist in Merrick